Schouderprothese
Wat is een schouderprothese?
Een schouderprothese is een kunstgewricht van de schouder.
Hierbij wordt het bovenste deel van het opperarmbeen (= humeruskop) vervangen, al dan niet gecombineerd met een vervanging van het gewrichtsoppervlak van het schouderblad (= glenoid).
Indicaties voor een schouderprothese
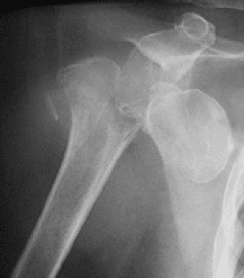
Arthrose
Arthrose is een proces van progressieve afbraak van kraakbeen.
Kraakbeen is een dunne, gladde en elastische structuur waarmee het gewricht bedekt wordt. Hierdoor kan een gewricht vlot en pijnloos bewegen.
Bij progressieve aantasting van dit kraakbeen onstaan er fissuren, afbrokkelingen en onregelmatigheden in deze structuur. Dit heeft een pijnlijke en stijf gewricht tot gevolg. In een verder stadium kunnen ook de omliggende pezen van de rotator cuff aangetast worden met nog meer functieverlies tot gevolg.
schouder arthrose
Indien de pijn of het functieverlies te ernstig zijn kan een schouderprothese een oplossing bieden.

Rheumatoide artritis (RA)
Patiënten met RA vertonen een versnelde afbraak van het kraakbeen en herhaaldelijke ontstekingen. Dit kan al op relatief jonge leeftijd leiden tot een invaliderend pijnlijk gewricht. Ook hier kan een schouderprothese een goede oplossing bieden.
Fracturen
Indien een breuk van de schouder niet meer op de anatomische manier hersteld kan worden, kan de chirurg beslissen om een schouderprothese te plaatsen.
Dit komt meer frequent voor bij ouderen, gezien deze vaak lijden aan osteoporose (= botontkalking), waardoor een ongeval of val op de schouder sneller aanleiding geeft tot ernstige breuken. Daarnaast is de bloedvoorziening van de schouderkop door een breuk soms beschadigd. Dit veroorzaakt een afsterven van de schouderkop (= avasculaire necrose). Ook dan moet de beschadigde schouderkop vervangen worden door een prothese

Onderzoeken
Op de raadpleging zal u klinisch onderzocht worden om uw pijn en functiebeperking te beoordelen.
Om de kwaliteit van het bot en van de rotatator cuff te beoordelen zal een aanvullende radiografie, arthro CT-scan en soms ook een NMR verricht worden.
In overleg kan dan eventueel beslist worden om een schouderprothese te laten plaatsen. Het type prothese dat voor u het meest aangewezen is wordt dan bepaald.
Types van schouderprothesen
Er bestaan verschillende types schouderprothesen, elk met hun specifieke indicaties en doelgroepen.
1. De Totale schouder prothese
Hierbij wordt zowel de humeruskop als het glenoid vervangen door prothesemateriaal.

2. De hemiprothese
Hierbij wordt enkel de humeruskop vervangen door prothesemateriaal.
3. De oppervlakte prothese
Hierbij wordt enkel het kraakbeen van de humeruskop bedekt door prothesemateriaal.

4. De omgekeerde prothese
Deze totale schouderprothese is speciaal ontworpen voor patiënten waarbij de rotator cuff niet meer functioneert.

De ingreep
Voor de ingreep worden enkele pre-operatieve onderzoeken uitgevoerd, zoals een bloedname en een ECG (= electrocardiografie).
U wordt opgenomen in het ziekenhuis op de dag voor de ingreep, tenzij anders meegedeeld.
De ingreep gebeurt steeds onder algemene verdoving.
Om na de ingreep minder pijn te hebben zal de anesthesist een bijkomende regionale verdoving toedienen. Dit resulteert evenwel in een tijdelijk verlamd gevoel in de arm.
Indien u ondanks deze bijkomende regionale verdoving toch nog pijn zou ervaren kan u steeds extra pijnstillers vragen.
Indien tijdens de operatie een drain geplaatst werd om overtollig bloed af te voeren, kan deze verwijderd worden na 1 of 2 dagen.
Afhankelijk van het herstel na de operatie en uw thuissituatie verblijft u 4 tot 7 dagen in het ziekenhuis.
De hechtingen kunnen verwijderd worden na 12 dagen.
De verwikkelingen
Zoals bij iedere ingreep zijn er verwikkelingen mogelijk tijdens of na het plaatsen van een schouderprothese.
- Infectie: een prothese is lichaamsvreemd materiaal en kan infecteren. De nodige maatregelen worden tijdens de ingreep genomen om dit risico zo klein mogelijk te houden.
- Letsels aan bloedvaten en zenuwen: deze kunnen tijdelijk een verlamd gevoel geven in de arm, maar meestal herstellen deze letsels spontaan.
- Barsten en breuken van het bot tijdens de ingreep.
- Frozen shoulder met schouder handsyndroom.
- Ontwrichting van de prothese.
- Loskomen van de prothese na een aantal jaren.
De revalidatie
Na de ingreep rust uw arm in een draagdoek (adductieverband).
Snel zal er echter gestart worden met mobilisatie van de arm. Dit verloopt via een bepaald schema onder leiding van een kinesist, zowel in het ziekenhuis als na ontslag.
Extra informatie wordt U via een website aangeboden door de schouder en elleboogchirurgen die lid zijn van de FLESSS (Flemish Elbow and Shoulder Surgeons Society) op www.flesss.be
Plan je consult
Boek je afspraak bij een arts met de juiste expertise, zonder omwegen







